![]() |
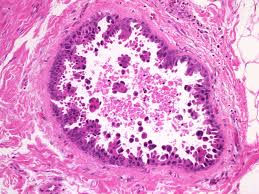
This first publication of an ongoing study is using a novel genomics liquid biopsy test in a large cohort of patients with both DCIS and IBC to track breast cancer in the blood to understand the invasive progression of breast cancer tumors. |
The research demonstrated that even though DCIS and IBC cancers often have similar mutations and likely come from the same original cell, they look very different at the gene expression level. IBC tumors show activity in pathways that help them grow and spread more easily. This suggests that there are extra layers of control, possibly involving changes in gene regulation, that help the tumors become invasive over time.
This study includes authors from Providence Genomics in collaboration with Providence Swedish Cancer Institute.
























